|
|
ÃÑ °Ô½Ã¹° 5,701°Ç, ÃÖ±Ù 0 °Ç
|
|
|
|
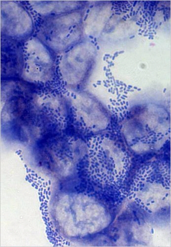
[ºÀ´åÄÄ Àâ´ã] Á×À½ÀÇ '½´ÆÛ¹ÚÅ׸®¾Æ' ÀÇ Á¤Ã¼ µå·¯³ª (¼¿ï½Å¹®) |
|
±Û¾´ÀÌ :
¶Ë±¸¸®
³¯Â¥ : 2011-06-24 (±Ý) 13:24
Á¶È¸ : 3781
Ãßõ : 16 ºñÃßõ : 0
|
¶Ë±¸¸® ±âÀÚ (¶Ë±âÀÚ)
±âÀÚ»ýȰ : 5,359Àϰ
»Í¼öÄ¡ : -29,249»Í / ·¹º§ : 0·¾
Æ®À§ÅÍ :
ÆäÀ̽ººÏ :
|

[¼¿ï½Å¹®]40¿©¸íÀÇ À¯·´ÀεéÀ» Á×À½À¸·Î ³»¸ó '½´ÆÛ ¹ÚÅ׸®¾Æ'ÀÇ Á¤Ã¼°¡ µå·¯³µ´Ù.
À̹ø ½´ÆÛ ¹ÚÅ׸®¾Æ´Â ÀåÃâÇ÷¼º ´ëÀå±Õ(EHEC)°ú ÀåÀÀÁý¼º ´ëÀå±Õ(EAEA) µî 2Á¾·ùÀÇ ´ëÀå±ÕÀÌ À¯ÀüÀûÀ¸·Î °áÇÕµÈ Æ¯ÀÌ ÇüŶó°í ´º¿åŸÀÓ½º°¡ 22ÀÏ(ÇöÁö½Ã°£) º¸µµÇß´Ù.
µ¶ÀÏ ¹À½ºÅÍ´ë Çï°Ô Ä«¸£Èå ±³¼ö°¡ À̲ö ¿¬±¸¿¡ µû¸£¸é ÀÌ ½´ÆÛ ¹ÚÅ׸®¾Æ¿¡´Â µÎ °¡Áö ÁÖ¿ä Æ¯Â¡ÀÌ ÀÖ´Ù. ù°´Â ½Ã°¡(shiga)¶ó´Â µ¶¼º ¹°ÁúÀ» Áö³æ´Ù´Â Á¡ÀÌ´Ù. ½Ã°¡´Â ÃâÇ÷À» µ¿¹ÝÇÏ´Â ¼³»ç¿Í ±Ø½ÉÇÑ °íÅëÀ» À¯¹ßÇÏ¸ç ½ÅºÎÀüÁõÀ» ÀÏÀ¸Å°±âµµ ÇÑ´Ù. ¶Ç ³»Àå ³»º®¿¡ Àß ´Þ¶óºÙ´Â ½À¼ºÀÌ ÀÖ¾î ¿¬±¸ÁøÀº ÀÌ ½´ÆÛ ¹ÚÅ׸®¾ÆµéÀÌ ³»À庮¿¡ º®µ¹´õ¹Ìó·³ ½×ÀÌ¸ç ¸ö ¼ÓÀ¸·Î µ¶¼ºÀ» ÆÛ¶ß¸° °ÍÀ¸·Î º¸°í ÀÖ´Ù.
Àü¿°º´ Àü¹®°¡ÀÎ ¸ÅÆ© ¿ùµµ¾î ÇϹöµå ÀÇ´ë ±³¼ö´Â "¹ÚÅ׸®¾Æ°¡ º®µ¹ ÇüÅ·Π°áÇÕµÉ ¼ö ÀÖ°Ô µÈ »óȲ¿¡¼ ½Ã°¡ µ¶¼ºÀ» Áö´Ñ ¹ÙÀÌ·¯½º¿¡ °¨¿°µÈ °ÍÀ¸·Î º¸ÀδÙ."¸é¼ "ÇϳªÀÇ ¹ÚÅ׸®¾Æ°¡ µÎ °¡Áö ¼ºÁúÀ» Áö´Ï°Ô µÇ¸é¼ Ä¡¸íÀûÀ¸·Î º¯Çß´Ù."°í ¸»Çß´Ù.
À̹ø ¿¬±¸´Â ±¹Á¦ ÀÇÇÐÀú³Î '·£½Ë °¨¿°Áúȯ'¿¡ ½Ç·È´Ù. Áö³´Þ ½´ÆÛ ¹ÚÅ׸®¾Æ °øÆ÷°¡ À¯·´ Àü¿ªÀ» µ¤Ä¡¸é¼ 23ÀÏ ÇöÀç 3688¿©¸íÀÌ °¨¿°µÇ°í ±× °¡¿îµ¥ 800¿©¸íÀÌ ½ÅºÎÀüÁõÀ¸·Î ¹ßÀüµÉ ¼ö ÀÖ´Â ÇÕº´ÁõÀ» ¾Î¾ÒÀ¸¸ç 43¸íÀÌ ¼ûÁ³´Ù.
Á¤¼¸°±âÀÚ rin@seoul.co.kr
|
|
|
|
±Û¾´ÀÌ :
¶Ë±¸¸®
³¯Â¥ : 2011-06-24 (±Ý) 13:24
Á¶È¸ : 3781
Ãßõ : 16 ºñÃßõ : 0
|
|
|
|
|
|
ÃÑ °Ô½Ã¹° 5,701°Ç, ÃÖ±Ù 0 °Ç
|
|
|
|
|
|
|
|
 |
|
|
|
|
µð¾î´º½º »ç¿ë¹ý |
µð¾î´º½º Ű¿öµå |
±Û¾²±â â »ç¿ë¹ý |
±â»ç ÀÛ¼º¹ý |
ÄĸÍÅ»Ãâ - ÄÄÇ»ÅÍ »ó½Ä |
ȸºñ ÈÄ¿ø±Ý ³»¿ª |
»çÀÌÆ® ¼øÀ§ |
|
|