(»¡°£¼± ¾ÈÀÇ ºÎºÐÀÌ, ÇãÇ÷(Ischemia)ÀÌ ¿Í¼ ¼¼Æ÷±«»ç°¡ ÀÏ¾î³ ºÎºÐ)
³úÁ¹Áß(Òàðïñé)... ÀϹÝÀû ¾çŰ¾î·Î´Â StrokeÀ̶óÄ«°í... °í»óÇÑ ¾çŰ¾î·Î´Â Focal Cerebral Ischemia..¶óį.
´õ ±Ã±ÝÇÑ ÀιδúÀº... ¿©±â <-- Ŭ¸¯ ......
¿¬¸»ÀÌ´Ù º¸´Ï... ÀÌ·¡Àú·¡ ¸¹Àº »ç¶÷µéÀ» ¸¸³ª°í, ÆÄƼÇϰí, ¾¾Àß¶¼±â ¾ø´Â Àλ縻À̳ª ³ª´©°í ±×·¨´Âµ¥.....
µÎ»ç¶÷.
Çϳª: °íµù¶§, ÀÌ¿ÉÈÀÇ ¶óÀ̹úÀÌÀÚ Ä£±¸.... °úÇÐÀÇ Áø¼ö¸¦ °øºÎÇϰڴٸç, °ú±â´ë·Î °£... Á÷Á¢ ¸¸³°Ç ¾Æ´Ï°í, ½ºÄ«ÀÔÀ¸·Î Á¤¸» °£¸¸¿¡ È»óÅëȸ¦ Çߴµï...
.........½¦Å°....¾ÆÁ¶ Æø»è ´Ä¾ú´õ±º..
¸Ó¸®¿¡ Èò¸Ó¸®°¡ °¡µæ.... ÇǺÎÀ±±â´Â ¾ø°í......»©Â¦ ¸»¶ó¼..
±×·¯°Ô....´©°¡ °ú±â´ë °¡·¨³Ä...¸Õ´ÆÀÇ ºÎ±Í¿µÈ¸¦ º¸°Ôµû°í...
µÑ: Á÷ÀåÀÇ ¼¼Æ÷(¹× Á¶Á÷)¿°»ö¹æ ±â¼úÁ÷ ¾ÆÀú¾¾¿´´ø...ÄËÆ®(Kent)... µ¢Ä¡ÁÁ°í...۵µ ¹«Áö Å©°í(180 cmÀÎ ÀÌ ¿ÉȰ¡ ¿Ã·Á´Ù º¼ Á¤µµ´Ï±î...).. »ç°Ý°ú ·Îµ¥¿À¸¦ ¹«Áö ÁÁ¾ÆÇϸç Áñ±â´ø ±×·±...
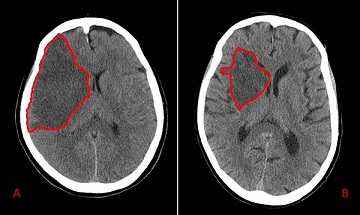
1³â¹Ý Àü.... ÄËÆ®°¡ °í¼Óµµ·Î ¿îÀüÁß¿¡ ³úÁÙÁßÀÌ ¿Í¼, Â÷°¡ ÃãÀ» Ãß¾ú°í... ±³Å묻õ°¡ À½ÁÖ¿îÀüÀÎÁÙ ¾Ë°í Â÷¸¦ ¼¼¿öº¸´Ï.. ÀÌ¹Ì Á¹µµ. Çï±â·Î ±ÞÈ÷ ±Ùó º´¿øÀ¸·Î ¿Å°åÀ¸³ª, ¸ñ¼û¸¸ °Ü¿ì »ì¸°....
±× ÄËÆ®°¡... À̹ø Á÷Àå ¼Û³âȸ ÆÄƼ¿¡ °¡Á·°ú ÇÔ²² ³ªÅ¸³µ´õ±º... ±× ÄËÆ® ¸ð½À..
....¹Ú¹Ú ±ïÀÎ ¸Ó¸®¿¡..Å« ¼ö¼úÀÚ±¹....¾ÆÁ¶ ¸»¶ó...üÁßÀÇ Àý¹ÝÀº ÁÙÀº°Í°°Àº......
ÄËÆ®: (¸»À» »ó´çÈ÷ ´õµëÀ¸¸ç) ¾î¶»...°Ô....Àß .....Áö³»....°í, °è....½Ê´Ï±î? Àü, ²À µ¹¾Æ ¿Ã °Å¿¹¿ä. ÆÈÇÒ: À¸.....ÀÀ..... ÄËÆ®: Àü, ²À µ¹...¾Æ...¿Ã...°Å¿¹¿ä.
(³»°¡ ÇØÁÙ ¼ö ÀÖ¾ú´ø °ÍÀº À̰ͻÓÀÌ¿´³×...) ÆÈÇÒ: (Æ÷¿ËÇϸç) ÀÀ. ³ ³ÊÀÇ µµ¿òÀÌ ÇÊ¿äÇØ. ±â´Ù¸±²²....¤Ðo¤Ð..
°£¸¸¿¡ ´«¹° ½ñÀ» »· ÇßÀ½. ...
¿¡Çʷα×: ¹Ú±ÙÇý °³³ÆÀÌ ´ëÅë¸Ô¾î¼.. °¡¶àÀ̳ª ¸àºØÀÌ ½áµå ¿þÀ̺ê·Î ¿À¸Þ, ¸àÅ»ÀÌ ½ÉÈ÷ °ï¶õÇѵï... À§ÀÇ µÎ ÈÞ¸ÕºùµéÀ» º¸°í, ¸¸³ª°í ÇÏ´Ï.......¤Ñ¤Ñ;;...... ÀÌ°Ç ¸Ó....
½Ã¹Ú ÀλýÀÌ ¸ÕÁö.... ...
¶á±Ý ÀϺ»Ã³ÀÚ ¼Ò°³.
¿Ö¾î¹ø¿ª: °°ÀÌ ¿ô´Â Áö±ÝÀÌ ÁÁ¾Æ¿ä.  À̸§: ¾ß½º´Ù ³ª·ç¹Ì(äÌï£ à÷Ú¸) Ãâ»ý: 1966³â ÀϺ» µ¿°æ Á÷¾÷: ¹è¿ì Ư¡: ÀçÀϱ³Æ÷ 2¼¼ Àâ¼³: ÀþÀº ½ÃÀý..ÀÌ¿ÉÈÀÇ ·Î¸ÁÀÌ¿´´Âµï...ÀÌ Ã³ÀÚµµ ´Ä¾ú.....¾îÈæ... (³ªÇÑÆ· ½ÃÁý¿ÀÁö...¸Õ »¹³ªµû°í Ȧ¶û....¤Ñ¤Ð¤Ñ;;....)
¼¼¿ù dz¾Ç: Walk don't run ¹êµå: The Ventures
|